Skip to main content

Your Society:CanadaChange Your Society

Alzheimer Society of Canada
20 Eglinton Avenue West, 16th Floor
Toronto, Ontario M4R 1K8
Get directions
Phone:416-488-8772
Email:info@alzheimer.ca
  • Contact us
  • Our programs and services
  • See what's happening
Provincial Societies:
  • Canada - National site
  • Alberta and Northwest Territories
  • British Columbia
  • Manitoba
  • New Brunswick
  • Newfoundland and Labrador
  • Nova Scotia
  • Ontario
  • Prince Edward Island
  • Quebec
  • Saskatchewan

Utility - Canada

  • Contact Us
  • English
  • Français
Alzheimer Society of Canada
MENU
Donate now
  • About dementia
    • What is dementia?
      • What is dementia?The term "dementia" doesn't actually refer to one, specific disease. Rather, it's an overall term for a set of symptoms that are caused by disorders affecting the brain.
      • Common questions about dementiaGet the answers to the most common questions about dementia.
      • Dementia numbers in CanadaThe Alzheimer Society is committed to providing accurate and reliable data on dementia in Canada. Statistics listed on this page are the most current available and are updated periodically when new reports and studies are issued.
      • Reports on dementiaUnderstand dementia and its impact in Canada and around the world.
      • Young onset dementiaWhen symptoms of dementia start before the age of 65, we use the term "young onset dementia."
    • What is Alzheimer's disease?
      • What is Alzheimer's disease?Alzheimer's disease is a chronic neurodegenerative disease that destroys brain cells, causing thinking ability and memory to deteriorate over time. Alzheimer's disease is not a normal part of aging, and is irreversible.
      • The history behind Alzheimer's diseaseWhile Alzheimer's has always been with us, attempts to understand and identify the disease and its impact didn't come about until very recently in human history.
      • The difference between Alzheimer's disease and other dementiasAlzheimer's disease and dementia do not mean the same thing. Understand the difference on this page.
      • How Alzheimer's disease changes the brainAlzheimer's disease can change the brain in many different ways, On this page, read about some of the changes you may expect as the disease progresses.
      • The stages of Alzheimer's diseaseAlzheimer's disease is usually described in terms of stages, indicating the severity of the symptoms. Learn about the stages on this page, from early stage to end of life.
      • Genetic testing and Alzheimer's diseaseGenetic testing can sometimes help identify whether a person has a high or low chance of developing Alzheimer's disease. On this page, find out more about genetic testing for Alzheimer's and whether it applies to you.
    • Other types of dementia
      • Other types of dementiaWhile Alzheimer's disease is the most common type of dementia, there are other types as well. Learn about them here.
      • Young onset dementiaWhen symptoms of dementia start before the age of 65, we use the term "young onset dementia."
      • Vascular dementiaThe most common type of dementia after Alzheimer's disease, vascular dementia occurs when the brain’s blood supply is blocked or damaged, causing brain cells to be deprived of oxygen and die.
      • Lewy body dementiaDementia with Lewy bodies – caused by abnormal 'Lewy bodies' deposits of protein called alpha-synuclein inside of the brain's nerve cells – shares many similarities with Parkinson’s disease.
      • Frontotemporal dementiaFrontotemporal dementia is an umbrella term for a group of rare disorders that primarily affect the areas of the brain associated with personality and behaviour.
      • Mixed dementiaIt's possible for someone to have more than one type of dementia. When this happens, it's known as mixed dementia.
      • LATE-NCLimbic-predominant age-related TDP-43 encephalopathy (or LATE-NC) is the most recently identified form of dementia, noted for its close similarity to Alzheimer’s.
      • Rare types of dementiaThere are many conditions that, in rare cases, can lead to dementia. Learn about them in this section.
      • Conditions related to dementiaLearn about conditions similar to dementia in this section.
    • Do I have dementia?
      • Do I have dementia?If you're unsure whether you have dementia, this section will help you. Get answers to common questions. Learn about dementia symptoms and possible signs, as well as how dementia differs from normal aging. Know when it may be time to seek a diagnosis.
      • The 10 warning signs of dementiaWhether you’re concerned for yourself or someone you care about, it's important to know the warning signs of dementia so you can ensure an early diagnosis. Here are 10 of the most common warning signs for dementia.
      • The differences between normal aging and dementiaIf you are experiencing difficulties with memory, know that they may not be signs of dementia. It could be memory loss as a part of normal aging.
      • How to get tested for dementia: Tips for individuals, families and friendsIf you or someone you know is concerned about having dementia, it’s important that you can identify the warning signs, know when to talk to your doctor and understand how dementia is diagnosed. Follow these steps.
    • How can I reduce the risk of dementia?
      • How can I reduce the risk of dementia?There is no sure way to prevent dementia. Some risk factors cannot be controlled. But research suggests that you can manage other risk factors.
      • Brain-healthy tips to reduce your risk of dementiaThis page lists evidence-based tips and strategies to help you lead a healthy, balanced lifestyle that protects your brain and reduces your risk of dementia.
      • Diabetes and dementiaWhat's the connection between diabetes and dementia? Learn more about this particular risk factor for dementia.
      • Risk factors for dementiaWhen it comes to dementia, there are risk factors you can change, and risk factors you cannot. Learn about both types on this page, as well as unproven risks that need more evidence to be considered valid.
      • 10 Ways to Reduce Your Risk of DementiaWhile some dementia risk factors, like genetics, may not be changeable, you can take action to reduce your risk of developing Alzheimer’s disease and other dementias, with these tips!
      • 12 actions for a healthier brain at any ageStaying socially active, being physically active and having a sense of purpose — all of these and more can help improve brain health in any phase of life.
    • Dementia treatment options & developments
      • Dementia treatment options & developmentsFor most forms and cases of dementia, there are currently no treatments that can reverse cognitive decline. However, there are approaches you can take that can help you manage symptoms and maintain your quality of life for as long as possible.
      • Medications approved for Alzheimer's disease in CanadaThere are no treatments today that can cure Alzheimer’s disease. However, there are four medications approved by Health Canada that can help with symptom management.
      • What is aducanumab?Aducanumab is the newest and most promising clinical treatment for Alzheimer’s disease in nearly two decades. Find answers to some of our most frequently asked questions about aducanumab below.
      • Health Canada Approves LecanemabThe Alzheimer Society of Canada responds to Health Canada's decision to approve Alzheimer's disease medication lecanemab.
      • Alternative treatments for dementiaThere are other ways to treat dementia that don't involve taking medications. However, it's important to know which alternative treatments have the evidence that proves that they are effective.
      • What is the process for approving dementia drugs in Canada?Learn about the rigorous process to get a potential treatment for dementia approved.
      • Cannabis and the treatment of dementiaWhile there is ongoing promising research on the effects of cannabis, there is currently no evidence that cannabis is useful for the treatment or prevention of Alzheimer’s disease.
      • The risk of using antipsychotic medications to treat dementiaThe Alzheimer Society recommends that antipsychotics only be used as a last resort to treat behavioural and psychological symptoms of dementia, especially in older adults. Instead, person-centred care is recommended as a first measure.
    • Stigma against dementia
      • Stigma against dementiaStigma is one of the biggest barriers for people living with dementia to live fully with dignity and respect. Help us fight stigma by learning more about its effects and taking steps to reduce its impact.
      • What does stigma against dementia look like?Stigma not only hurts people living with dementia, it discourages their families from confiding in others or getting the support they need. On this page, learn how to recognize stigma against dementia.
      • Myths and realities of dementiaMyths and misconceptions about Alzheimer's disease and dementia abound – what it is, who gets it, and how it affects the people who have it. These myths stand in the way of understanding the disease and helping those affected.
      • 10 easy ways to fight stigma against dementiaFighting stigma is easier than you think. Learn how you can make a positive impact on the lives of people living with dementia.
      • Alzheimer's Awareness MonthJanuary is Alzheimer's Awareness Month in Canada. Learn what that means and how you can get involved.
    • Dementia information for Indigenous Peoples
    • About dementiaIn this section, learn more about dementia, including its most common type (Alzheimer's disease), other types of dementia and evidence-based recommendations on risk reduction and treatment.
  • Help and Information
    • Find your area’s Alzheimer Society
    • Programs and services
      • Programs and servicesThe Alzheimer Society can help you face dementia. Use this page as your guide to find support programs, dementia education and resources, referral services and more.
      • First Link®If you're affected by dementia, know you are not alone. The Alzheimer Society is your First Link to a community of support, expertise and more.
      • Find supportWith programs and services available across Canada, the Alzheimer Society supports people with dementia, their families, caregivers, and healthcare providers.
    • Dementia resources
      • Dementia resourcesLooking for more information on dementia? Get brochures, videos, our recommendations for assistive products and more.
      • National resource libraryBrowse our resource library to learn more about dementia. We cover a wide range of topics and audiences.
      • Dementia information in Chinese, Punjabi and more languagesMandarin, Cantonese and Punjabi are some of the most-spoken languages in Canada. Find essential facts about dementia in multiple languages here.
      • Shopping for assistive productsAssistive devices can help individuals perform a task that they might otherwise be unable to do, or simply make the task easier and safer to perform.
      • Video resourcesThese videos can help you understand more about dementia, know what to expect and how to provide dementia care.
      • Dementia Talks! CanadaA new digital discussion series that centers the conversation on dementia, with researchers and people with lived experience sharing their stories, tips and insights.
      • Top tips for finding reliable dementia health informationIs the dementia information you’re reading trustworthy? These 5 tips will help you decide.
    • I'm living with dementia
      • I'm living with dementiaOur mission is to support you. The Alzheimer Society can provide you with the information and resources to help you manage your diagnosis, assert your rights, live well with dementia, plan for your future and more.
      • First steps after diagnosisYou've likely been worried and anxious about the changes you're seeing in yourself. Now that you've been diagnosed, know that there are education and resources to support you. Learn the first steps to living well with dementia.
      • Talking about your diagnosisIf you've just been diagnosed with dementia, you may need some time before sharing the news – or you may want to talk about it right away. However your approach, this page can help you with strategies for communication.
      • Managing the changes in your abilitiesDementia impacts your cognitive, emotional, physical and social abilities. Understand how these changes can affect you, and know how you can prepare and adjust accordingly to live well with dementia.
      • Living well with dementiaA diagnosis of dementia does not mean your life is over. This section provides you with strategies to live well with dementia, along with tips and advice from other people who are living with dementia.
      • Planning for your futureAs your dementia progresses, it can become difficult to make choices about your care, finances and other important decisions. However, there are a number of things you can do now to ensure your wishes are communicated, heard and respected.
      • Your rights as a person living with dementiaAs a person living with dementia, the Charter can help you assert your rights to live free of stigma, benefit from all of Canada's civic and legal rights, participate in policies that affect you and more.
    • I'm caring for a person living with dementia
      • I'm caring for a person living with dementiaUnderstanding dementia and its progression is important to ensure that both you and the person living with dementia can live as well as possible. We have the resources to support you and the person you care for.
      • Young caregiversKids, teens and young adults do help care for people living with dementia. Here are tips and advice for these young caregivers in Canada.
      • What to expect as the person's dementia progressesCaring for someone with dementia can be a great reward but it can be challenging at times. Prepare yourself by knowing what to expect.
      • Understanding symptomsDementia can affect the personality and behaviour of the person living with the disease. Learn more about understanding and responding to these changes associated with dementia.
      • Looking after yourselfProviding care for someone living with dementia takes a tremendous toll on the physical and emotional health of the primary caregiver, yet many caregivers often don't recognize the warning signs, or deny its effects on their health.
      • Providing day-to-day careYou want to make every day the best day possible. Caring for someone with dementia can be a great reward but it can be challenging at times. Prepare yourself with these tips.
      • Ensuring safety and securityDementia can affect a person’s physical abilities and mental acuity. Learn more about protecting yourself or a family member who has dementia.
      • Long distance caregivingToday, family members often live at some distance from each other. When a relative needs increasing support, caring from a distance presents additional and special problems.
      • Long-term careWhen a person living with dementia needs full time support, moving to a long-term care home may be the next step for you and your family.
      • End-of-life careThe needs of people with dementia at the end of life are unique and require special considerations. This section can help you prepare for end of life, make some of the difficult decisions you may face, and cope with the grief and loss you might experience
      • Managing ambiguous loss and griefThe issue of loss and grief is one of the most significant issues when supporting people living with dementia and their caregivers. Losses and grieving occur in different ways at all stages in the dementia caregiving journey.
    • I have a friend or family member who lives with dementia
      • I have a friend or family member who lives with dementiaSomeone you know – a partner, a parent, a sibling, a friend, a coworker – has dementia. What can you do to help? Learn more about dementia and how you can be dementia-friendly.
      • First steps for families after diagnosisKnowing the following tips may help make life easier and more enjoyable for you and the person living with dementia as well as to prepare for the future.
      • Understanding how your relationship may changeDementia can change many aspects of a relationship, but not the need for love and affection.
      • Communicating with people living with dementiaUnderstand how dementia affects communication and learn some useful tips and strategies for your conversations with people living with dementia as they progress through the stages of the disease.
      • Ways to helpFriends, neighbours and extended family are important sources of support for the family. Perhaps you want to help but don't know where to begin. This page will give you some ideas of how you can offer practical help and show that you care.
      • Making meaningful visitsWhether you are visiting someone with dementia every day or just once in a while, making the most of your time together will mean a more meaningful visit for both of you!
      • Helping children understand dementiaDementia can be a hard concept for younger children to understand.
      • Helping teens understand dementiaWhat are some ways you can help your teenage daughter, son, niece, nephew or cousin understand dementia, especially if someone in the family is living with it? Try out the suggestions listed on this page.
      • Holidays and special occasionsFor some of us, holidays or other special life events can be stressful, particularly if you are a caregiver or a person living with dementia. Unfamiliar places, large groups of people, noise and a hectic pace can create a lot of anxiety.
    • I'm a health-care provider
      • I'm a health-care providerLearn more about dementia and how you can ensure quality person-centred care for people living with dementia.
      • First Link® for health-care providers
      • National Dementia Guidelines for disclosing a diagnosis
      • Dementia diagnosis and screening tools for health-care providers
      • Canadian doctors' most-used dementia care tools
      • Providing person-centred care
      • Dementia in the Black community
      • Dementia in the Chinese community
      • 華人社區中的認知障礙症影片系列 | Dementia in the Chinese community video series
    • I'm a first responder
    • I'm a financial professional
    • Help and InformationWhether you want to learn more about the programs and services we offer, or find dementia-related information specific to your needs, the Alzheimer Society has the education and resources to help you.
  • Ways to Give
    • Ways to GiveYou can help people living with dementia – it's easy! Through your Alzheimer Society, learn how to get involved through donating, fundraising, advocating, volunteering and more!
  • Research
    • About the Alzheimer Society Research Program
      • About the Alzheimer Society Research ProgramOn this page, learn more about the Alzheimer Society Research Program, including funding opportunities for researchers, when applications open and highlights from previous ASRP funded research.
      • Apply to the Alzheimer Society Research ProgramFind out how to apply to the latest Research Competition and get guidelines and tips for applying.
      • The ASRP ExchangeThe ASRP Exchange is a webinar series that features innovative, cutting-edge researchers funded through the Alzheimer Society Research Program.
      • ASRP supported conferencesLearn about the conferences on dementia research that the Alzheimer Society Research Program supports every year.
      • The role of citizen reviewers in dementia researchCitizen reviewers are people with lived experience of dementia that provide vital insight on how the Alzheimer Society prioritizes dementia research. Learn more about this important role and how you can become a citizen reviewer.
      • Latest funding resultsCheck out the projects and the researchers that received funding from the Alzheimer Society Research Program in the 2025 Research Competition.
    • 10 priorities for dementia research in Canada
    • Meet our researchers
      • Meet our researchersRecipients of the Alzheimer Society Research Program (ASRP) and other dementia researchers tell us about their projects, their inspirations and how their work can help people living with dementia and caregivers in Canada.
      • Indigenous female caregivers' experiences for a loved one with memory lossIn this video presentation, researcher Dr. Danielle Alcock, member of the Chippewas of Rama First Nation, talks about storytelling in the lives of female Indigenous caregivers supporting a loved one with memory loss.
    • Participate in research
    • Information for researchers
      • Information for researchersFind out how to apply to the latest Research Competition and get guidelines and key dates for applying in this section.
      • The Alzheimer Society Research ProgramAre you a researcher currently funded by the Alzheimer Society Research Program, or interested in applying? Get all the information and resources you need here.
      • How ASRP funding gets determinedUnderstand the process that determines which research projects among the final applicants receive funding.
      • Find participants for your studyThrough the Alzheimer Society Research Portal, you can get connected to people living in Canada who want to do their part in advancing dementia research – and want to participate in a study like yours!
      • Report forms for currently funded researchersFill out and submit your progress and final reports, as well as your conference evaluation form.
    • Reports on dementia
    • ResearchThe Alzheimer Society's research scientists work on vital studies about dementia. Your support will get us closer to life-altering treatments, better care and cures for Alzheimer's disease and other dementias.
  • Get Involved
    • Volunteer
    • Become dementia-friendly
      • Become dementia-friendlyBy understanding the everyday experiences of people living with dementia, you can better accommodate their needs and help them live well. Becoming dementia-friendly will make a direct impact on the people living with dementia in your community.
      • Dementia-Friendly CanadaBy the end of the decade, almost one million Canadians will live with dementia. The impact of dementia is and will continue to be felt across all borders, sectors and cultures. We must act and build a dementia-friendly Canada now.
      • Meaningful engagement of people living with dementiaMeaningful engagement is a person-centred approach that encourages and invites people living with dementia to participate in an organization's work with purpose and interest. By practicing meaningful engagement, you can benefit from people living with dem
      • Using person-centred languageThe Alzheimer Society has developed language guidelines for anyone who lives with, supports, or works with a person living with dementia or caregiver. These guidelines can help you promote consistent, respectful language around dementia.
    • Change minds
      • Change mindsLearn how you can help us raise awareness and fight stigma against dementia in Canada.
      • Our Advisory Group of People with Lived Experience of DementiaBy drawing on their personal stories of living with or supporting people with dementia, our members can share their voices to change how dementia is understood and treated in Canada.
      • The Canadian Charter of Rights for People with DementiaAs a person living with dementia, the Charter can help you assert your rights to live free of stigma, benefit from all of Canada's civic and legal rights, participate in policies that affect you and more.
      • Canada's national dementia strategyLearn more about Canada's first ever-national dementia strategy and the importance of having it fully funded.
    • Get InvolvedLearn about dementia-friendly communities and how to get involved through advocacy, volunteering and more.
  • About us
    • Our vision, mission and values
    • Our impact
    • Our Board
    • Our Leadership
    • Our partners and supporters
    • Annual reports and finances
    • National statements
    • The Alzheimer Society Federation
    • The history of the Alzheimer Society
    • Media centre
    • Newsletter
    • Career opportunities
    • About usLearn more about the role and values of the Alzheimer Society of Canada, including our history of supporting people affected by dementia in Canada, the impact we are making today and our vision for the future.

Breadcrumb

  1. Home

Boost Your Brain Health

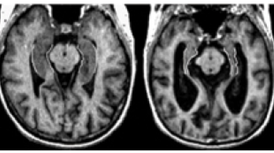
Two MRIs that depict the brain of a person without Alzheimer's, and a person with Alzheimer's.

MRI images courtesy of Sunnybrook and Women's College Health Sciences Centre.

Doing puzzles like sudoku, crosswords, and word searches is a great way to keep your brain active.

For more about brain health visit alzheimer.ca/ChallengeYourBrain

Jed March 4, 2022

Share:

  • Share on Facebook
  • Share on Twitter
  • Share on LinkedIn
  • Print this page

Status message

Sorry… This form is closed to new submissions.
Alzheimer Society of Canada

Follow us:

  • Facebook
  • Twitter
  • Instagram
  • YouTube
  • LinkedIn
Charity registration number: 11878 4925 RR0001

Utility Footer - Canada

  • Privacy policy
  • Consent notice
  • Community Guidelines
  • Career opportunities
©2026 Alzheimer Society of Canada. All rights reserved.
Your Society:Canada
Alzheimer Society of Canada
20 Eglinton Avenue West, 16th Floor
Toronto, Ontario M4R 1K8
Get directions
Phone:416-488-8772
Email:info@alzheimer.ca